Trauma & Sports Injuries Doctor in Ahmedabad


Dr. Mehul H. Desai is a Best Doctor For sports Injuries in Ahmedabad and Sports Injuries Doctor in Ahmedabad, Trauma Sports Injuries.


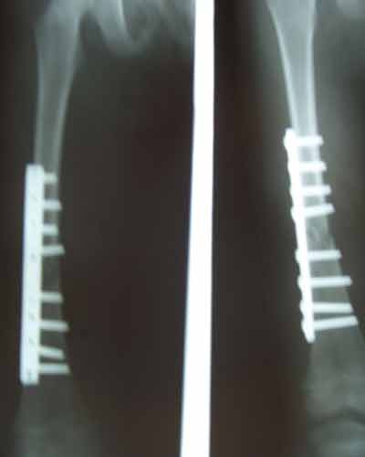
Case:1 Polytrauma Case (Multiple Fractures in Ipsilateral Limb)

Pre-Op Hip (AP & Lateral)

Pre-Op Knee (AP & Lateral)

Post-Op Hip

Post-Op Knee

4 Months Post Operative X-ray showing #s united

3 Months Follow up

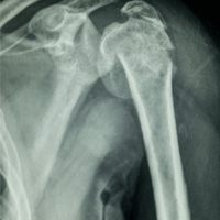
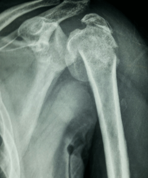
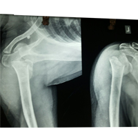
Case:2 Fracture of Neck Humerus with Fracture of Greater Tuberosity

Pre-Op AP

Pre-Op Trausaxillay

Post-Op X-ray

Case:3 Hoffa's Fracture

Pre-Op

Per-Op

Post-Op

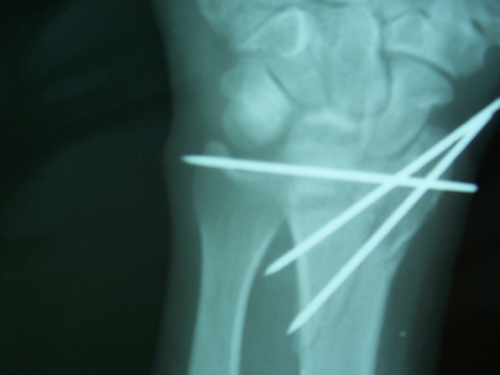
Case:4 Comminuted Intra – Articular Lower End Fracture Radius

A patient, aged 46 years following vehicular accident came with swollen painful wrist & hand. He had been diagnosed to have closed comminuted fracture lower end of right Radius. He was treated operatively with closed reduction & ‘K’ wiring under regional Anaesthesia.

Pre-Op

Pre-op Lateral

Post-op AP

One and Half Months Follow-Up

Case:5 Intra-Articular Upper End Tibia

Patient, aged 40 years male following vehicular accident sustained depressed fracture Intra-Articular upper end of right Tibia. Aspiration of right knee done and above knee slab was given for stabilisation. Operated next day with open reduction + elevation of depressed fragment with Edelend’s Technique & fixation with lateral locking plate fixation.

Limb Reconstruction Doctor|Sports Injuries Doctor

Pre-Op

Post-Op

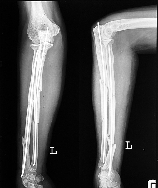
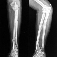
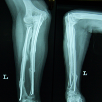
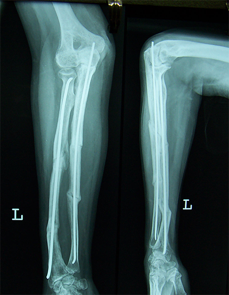
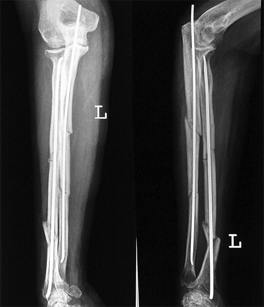
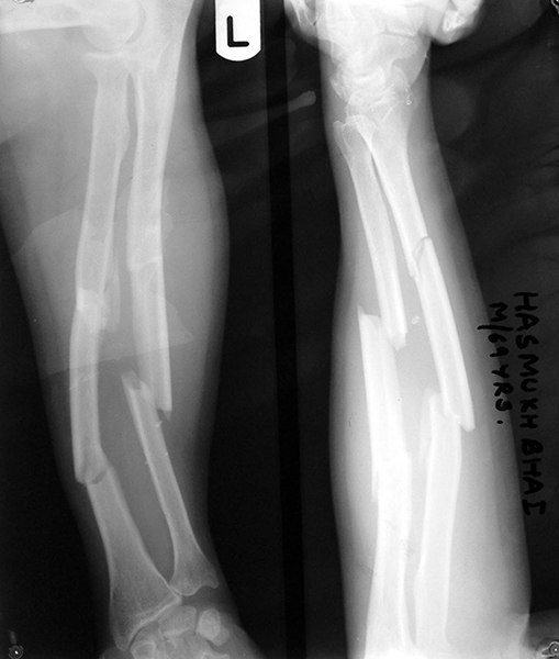
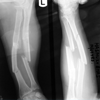
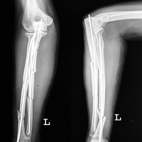
Case:6 Segmental Comminuted Fracture Radius

Patient, aged 75 years during morning walk tripped & had a fall following which he sustained injury to the left forearm. Closed reduction & interval fixation with Intra-medullary TEN nails was done in radius & ulna. Now he has full supination & pronation function of forearm.

Pre-Op

Post-Op

One and Half Months

3 Months Follow Up

4 Months Follow-Up

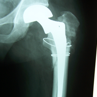
Case:7 Fracture Neck Femur with Implant failure and Re-Fixation with hemi-arthroplasty

Alcoholic Gardener by profession had slipped in bathroom & fell. He sustained fracture neck femur.He was operated with closed reduction & CC Screw fixation under IITV. Two weeks’ post fixation he again fell & sustained fracture in sub trochanteric region. He was treated with Hem-Arthroplasty with Tension band wiring.

Pre-Op

Post-Op

Post Fall

Oblique-Post Fall

Lat-Post Fall

Lateral-Post Prosthesis Fall

Post Prosthesis Fall

Post Uninon-3Months

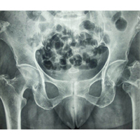
Case:8 Polytrauma

Patient having closed segmented fracture midshaft & lower 1/3 Tibia with closed fracture superior & inferior pubic rami right side with pelvis fracture following vehicular accident wastreated with intramedullary nail for fracture tibia and external fixator for fracture pelvis.

Pre-Op

Immdiate Post-op

Post-op Lateral

Lat-Post Fall

Ex fix with frame

Post-op 1 and half months follow-up

Post Uninon-3Months

Post Uninon-3Months

Case:9 Comminuted Intertrochanteric Fracture

Patient aged 75 years with Comminuted Intertrochanteric fracture treated with closed reduction & Ender’s nailing.

Pre-op Ap

Pre-op Lateral

Post-op Ap

Post-op Lateral

Post-op Distal End

Case:10 Pathological Fracture

Seconderies from CA Prostate in 65 years old male patient treated with cemented bipolar prosthesis.

Pre-op

Post-op X-ray

Case:11 Fracture Intracapsular Neck Femur

80 years old female patient treated with bipolar prosthesis.

Pre-Op

Post-op

Case:12 Pediatric PolyTrauma

7 Years old female with bilateral fracture shaft femur middle third, lower third junction treated with plating on right side & external fixation & ‘K’ wiring on left side.

Pre-Op

Rt side platting

Lt-side Kwiring+ Ex-fix

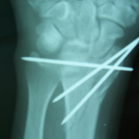
Case:13 Infected nonunion with implant failure

31 years old patient with fracture radius-ulna (1-year-old) with infected non-union was treated with implant removal & external fixation. ‘K’ wiring was done for distal radio-ulna joint stabilization. Bone grafting was done after 3 weeks. Fracture united 6 months’ post-operative.

Pre-Op

Post-op

Imm Post-op

Bone gratfing + ex fix

6 months post-op

Case:14 Periprosthetic Fracture

60 years old patient with total knee replacement on left knee presented with open grade 1 injury. Debridement & slab given on emergency bases. Fixation with plate & screws done. Union was seen after 6 months.

Pre-Op AP

Pre-Op Lat.

Immdiate Post-op

1 and half months Post-op

2 and half months Post-op

3 and half months Post-op

4 and half months Lateral

6 Years Follow-Up

Case:15 Comminuted Intertrochanteric Fracture

75-year-old female with comminuted Intertrochanteric fracture treated with DHS fixation.

Pre-Op

Post-Op

Case:16 Comminuted Subtrochanteric Fracture

Female 42 years after two days of core depression slipped in bathroom & sustained Subtrochanteric fracture. She was treated with open reduction & fixation with DCS.

Pre-Op

Post-Op

Case:17 Bilateral Fracture Dislocation

Known case of Epilepsy in 45-year-old Mason treated with open reduction & internal fixation with philos plate & locking screws bilaterally.

Right side Pre-Op

Right side Post-Op

Right Side Post-Op 3 Weeks old

Left Side Pre-Op

Left Side Post-Op

Case:18 Comminuted Fracture Upper Humerus

Female 65 years sustained fall in the house had displaced fracture of head of left Humerus with displaced fragment of greater tuberosity was treated with open deduction and philos plate fixation.

Pre-Op-Xray

Pre-Op CT Scan

CT Scan lateral

Post-Op Xray

Case:19 Percutaneous fixation with Implants

A male patient, aged 78 years had been diagnosed to have a closed Pott’s fracture Left Ankle. He was treated operatively with Percutaneous fixation with Implants.

Pre-Operative

Post-Operative

Post-Operative

Case:20 Closed reduction and percutaneous fixation done with CC Screw

A male patient, aged 58 years had been diagnosed to have Closed comminuted fracture calcaneum . Closed reduction and percutaneous fixation done with CC Screw.

Pre-Operative

Post-Operative

Post-Operative

Post-Operative

Case:21 Closed fracture of the neck of humerus with dislocation of Right shoulder

A female patient, aged 82 years had been diagnosed to have Closed fracture of the neck of humerus with dislocation of Right shoulder. She was treated operatively with Reduction & Internal fixation.

Pre-Operative

Post-Operative Ap View

Post-Operative Lateral View

website counter

Copyright © 2025 Dr. Mehul H. Desai. All rights reserved. Designed & Developed by City Business Group

 Best Spine Surgeon in Ahmedabad | Joint Replacement in Ahmedabad  Reviewed by 5 Users Rated: 5 / 5