Limb Reconstruction Doctor in Ahmedabad


Dr. Mehul H. Desai is a Limb Reconstruction Doctor in Ahmedabad, Rehablition Doctor In Ahmedabad and Rehablition Best Doctor In India. At earlier times, large surgeries were compromised, because of limb, or if injury was extensive, amputation was left as the only treatment choice and patient has to live without limb for rest of the life. Limb reconstruction refer to techniques, where the shape , function or length of a bone in the arm or leg is altered, due to birth or amputation because of , trauma or some other reason as cancer. In a Limb Reconstruction, the surgeon lengthens or straightens, or 'reconstructs' a bone or joint using an external fixator, or frame. Limb reconstruction is a subspecialty of orthopedic surgery, this treatment segment deals with after injury complications and the correction of limb deformity which may include limb lengthening.

Case:1 GCT L/E Radius

Limb Reconstruction Doctor in Ahmedabad

Pre-Op

Rehablition Doctor In Ahmedabad

One and Half month follow up

Rehablition Best Doctor In India

One and Half year foll

Spine Treatment In Jaipur|Sports Injuries Doctor

2 years Follow-Up

Case:2 GCT-L/E Radius

Spine Treatment In Jaipur|Best Trauma Surgeon

Pre-Op

Limb Reconstruction Doctor|Best spine surgeon

Post-Op AP

Spine Best doctor in satellite |Best Trauma Surgeon

Post-op Lateral

Limb Reconstruction Doctor|Sports Injuries Doctor

Imm Post-op

Best Orthopedic Surgeon In Satellite|Orthopedic Oncology Doctor

MRI-AP View

Trauma Surgeon in Ahmedabad|Joint Replacement

MRI

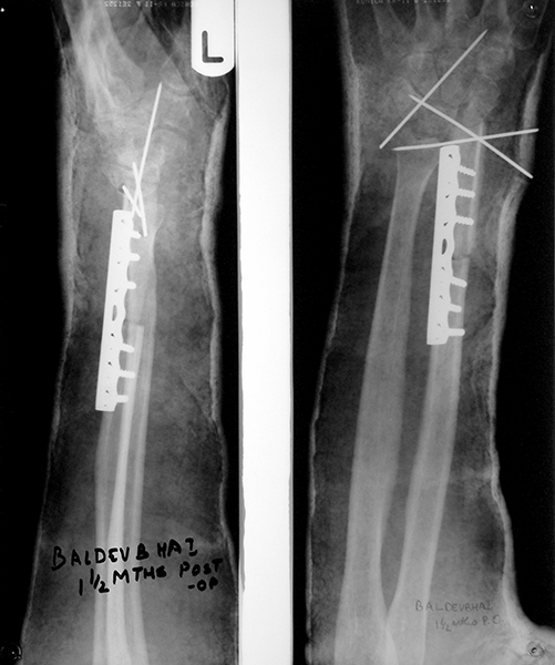
Case:3 Ewings Tibia

Spine Best doctor in satellite|Best Orthopedic Surgeon

Pre-Op

Spine Treatment In Jaipur|Sports Injuries Doctor

Post-Op

Case:4 GCT Acetabulum

Orthopedic Oncology Doctor|Spine Surgeon Best In Rajasthan

Pre-Op

Best spine surgeon in ahmedabad|Best Trauma Surgeon

Post-Op Scraooing + B.G

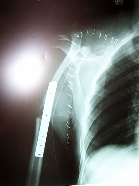
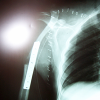
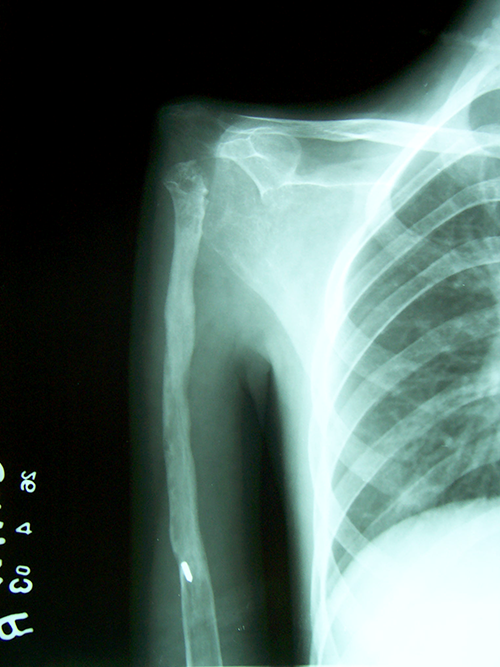
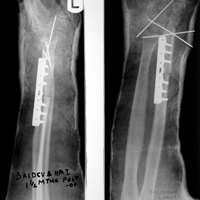
Case:5 Ewing sarcoma with implant failure

Orthopedic Oncology Doctor In Ahmedabad

Breakage of Nail

Sports Injuries Doctor

Refixation with Angle Bladed Plate and Sever Graft

Spine Best doctor

Ewing's Post Nailing and Bone Grafting

Best Trauma Surgeon in Ahmedbad

3 Months Post -Op

Joint Replacement

6 Months Post-Op

Case:6 Transfer of Scapula to Humerus

Orthopedic Oncology Doctor In Ahmedabad

Angio-2

Limb Reconstruction Doctor

Angiogram

Sports Injuries Doctor

Pre-op CTscan

Best spine surgeon in ahmedabad

Pre-Op X-ray

Best Trauma Surgeon

Biceps Tendon Re-Encoring

Joint Replacement

Specimen

Post Fixation

Orthopedic Oncology Doctor In Ahmedabad

Post-op X-ray

Case:7 GCT Humerus

Spine Surgeon Best In Rajasthan

Pre-Op

Sports Injuries Doctor

3 Years follow-up

Orthopedic Oncology Doctor In Ahmedabad

5 Years follow-up

website counter

Copyright © 2025 Dr. Mehul H. Desai. All rights reserved. Designed & Developed by City Business Group

 Best Spine Surgeon in Ahmedabad | Joint Replacement in Ahmedabad  Reviewed by 5 Users Rated: 5 / 5